top of page
Acervo Próprio
.jpeg)
.jpeg)
.jpeg)
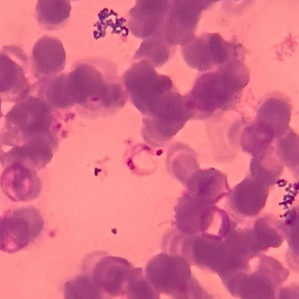
Tripomascigota
Tripomastigota
Tripomastigota
.jpeg)

.jpeg)
Amstigota
Amstigota
Amastigota
.jpeg)


Epimastigota
Epimastigota
Epimastigota
.jpeg)
.jpeg)
.jpeg)
Promastigota
Promastigota
Promastigota



Amastigota
Amastigota
Amastigota

.jpeg)
.jpeg)
Cistos com bradizoitos
Taquizoitos
Taquizoitos
.jpeg)
.jpeg)
.jpeg)
Microfilária
Microfilária
Microfilária



Cisto de Iodamoeba butschilli
Cisto de Iodamoeba butschilli
Cisto de Iodamoeba butschilli
bottom of page
